2026年3月31日 / 最終更新日 : 2026年3月30日 umy-game 歯のコラム 歯周病のリスクを下げるために!口の中を健康に保つ食べ物 こんにちは。東京都文京区「江戸川橋駅」より徒歩1分にある江戸川橋菊地歯科医院です。 歯周病は、日本人の成人の約8割がかかっているともいわれるほど身近な病気でありながら、初期段階では自覚症状が少ないため、気づかないうちに進 […]
2026年3月24日 / 最終更新日 : 2026年3月23日 umy-game 歯のコラム 仕上げ磨きのやり方を解説!注意点や使うとよいアイテムも こんにちは。東京都文京区「江戸川橋駅」より徒歩1分にある江戸川橋菊地歯科医院です。 虫歯や歯周病を予防するためには、日々のセルフケアが欠かせません。なかでも、仕上げ磨きは特に重要なステップです。子どもが小さいうちは、保護 […]
2026年2月24日 / 最終更新日 : 2026年3月10日 umy-game 歯のコラム 若い人でも歯周病になるの?原因やリスク、予防法を解説 こんにちは。東京都文京区「江戸川橋駅」より徒歩1分にある江戸川橋菊地歯科医院です。 歯周病というと、中高年の病気というイメージを持たれるかもしれませんが、若い世代でも発症する人は少なくありません。若い人が歯周病になると、 […]
2026年2月17日 / 最終更新日 : 2026年2月16日 umy-game 歯のコラム 銀歯が原因で口臭が出る?臭いの理由と対処・予防法 こんにちは。東京都文京区「江戸川橋駅」より徒歩1分にある江戸川橋菊地歯科医院です。 「銀歯を入れてから口臭が気になるようになった」「銀歯の周りから嫌な臭いがする気がする」といった悩みを抱えている方は少なくありません。実は […]
2026年1月27日 / 最終更新日 : 2026年1月26日 umy-game 歯のコラム イヤイヤ期の子どもに歯磨きをしてもらうために!歯磨きのコツ こんにちは。東京都文京区「江戸川橋駅」より徒歩1分にある江戸川橋菊地歯科医院です。 イヤイヤ期を迎えたお子さんとの毎日は、予想外の出来事の連続です。なかでも、多くの保護者の方が頭を悩ませるのが歯磨きではないでしょうか。泣 […]
2026年1月20日 / 最終更新日 : 2026年1月19日 umy-game 歯のコラム 虫歯かも?見分け方と放置するリスク、予防法を解説 こんにちは。東京都文京区「江戸川橋駅」より徒歩1分にある江戸川橋菊地歯科医院です。 虫歯は、日本人の多くが経験する代表的な口腔トラブルの一つです。初期段階では自覚症状が少ないため、気づかないうちに進行することも珍しくあり […]
2026年1月13日 / 最終更新日 : 2026年1月12日 umy-game 歯のコラム PMTCとは?歯科医院で受けられる専門的なクリーニングのメリット こんにちは。東京都文京区「江戸川橋駅」より徒歩1分にある江戸川橋菊地歯科医院です。 虫歯や歯周病を予防するためには、ご自宅での毎日の歯磨きが非常に大切です。一方で、どれだけ丁寧に歯磨きをしていても、どうしても落としきれな […]
2026年1月6日 / 最終更新日 : 2026年1月5日 umy-game 歯のコラム 歯ぎしりが歯周病を悪化させるって本当?そのメカニズムと対策 こんにちは。東京都文京区「江戸川橋駅」より徒歩1分にある江戸川橋菊地歯科医院です。 歯ぎしりと歯周病は、一見すると関係のない別々の問題に思われがちですが、実はお口の健康において密接なつながりがあります。歯ぎしりは無意識に […]
2025年12月30日 / 最終更新日 : 2025年12月29日 umy-game 歯のコラム 乳歯が抜ける順番は決まっている?抜ける時期と注意点も こんにちは。東京都文京区「江戸川橋駅」より徒歩1分にある江戸川橋菊地歯科医院です。 子どもの歯は乳歯から永久歯へと生え変わりますが、どのような順番で抜けるのかご存じでない方もいるかもしれません。乳歯が抜けるタイミングや順 […]
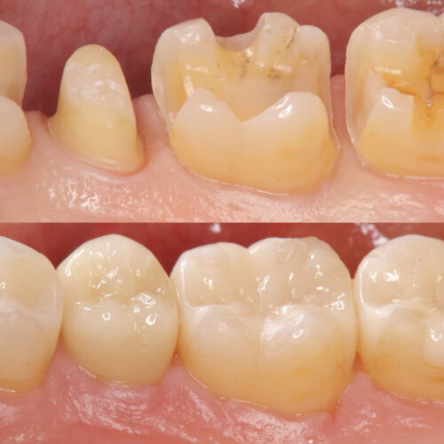
2025年12月23日 / 最終更新日 : 2025年12月22日 umy-game 歯のコラム 歯が黒いのは虫歯?黒くなる原因と対応法 こんにちは。東京都文京区「江戸川橋駅」より徒歩1分にある江戸川橋菊地歯科医院です。 鏡を見たとき、歯の一部が黒くなっているのに気づいて驚いた経験はありませんか。「これは虫歯かもしれない」と心配になる方も多いでしょう。実際 […]